前歯のインプラント
前歯のインプラント症例をご紹介します。
30代女性。前歯のぐらつきを気にして来院。

前歯が折れています。患者さんは義歯やブリッジよりインプラントを選択されました。

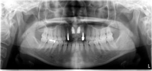
インプラントを埋入。

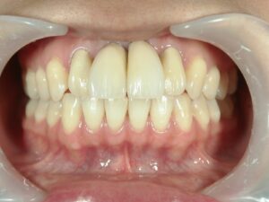
きれいな前歯が入りました。
患者さんは非常に満足されています。
米子市のインプラントなら古川歯科にご相談ください。
投稿日:2025年12月22日 カテゴリー:インプラント
米子市の歯医者 古川歯科
〒689-3425 鳥取県米子市淀江町佐陀719-19
| 診療時間 | 月 | 火 | 水 | 木 | 金 | 土 | 日祝 |
|---|---|---|---|---|---|---|---|
| 9:00~13:00 | ● | ● | ● | × | ● | ※ | × |
| 15:00~18:30 | ● | ● | ● | × | ● | ※ | × |
※土曜日 9:00~12:00/14:00~17:00
前歯のインプラント症例をご紹介します。
30代女性。前歯のぐらつきを気にして来院。

前歯が折れています。患者さんは義歯やブリッジよりインプラントを選択されました。

インプラントを埋入。

きれいな前歯が入りました。
患者さんは非常に満足されています。
米子市のインプラントなら古川歯科にご相談ください。
投稿日:2025年12月22日 カテゴリー:インプラント