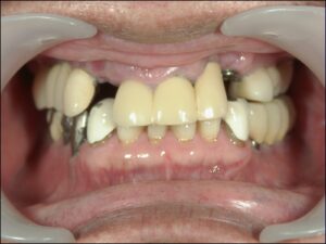
前歯部インプラント

治療内容:前歯部インプラント
患者情報 70代男性
主訴:前歯を入れたい
治療期間:3か月(4回)
費用:770000円
リスク:痛み、腫れ
注意事項:効果には個人差があります。本症例は自由診療です。写真は同一条件で撮影しています。
使用材料:チタン、セラミック
投稿日:2026年4月15日 カテゴリー:インプラント, 審美歯科
米子市の歯医者 古川歯科
〒689-3425 鳥取県米子市淀江町佐陀719-19
| 診療時間 | 月 | 火 | 水 | 木 | 金 | 土 | 日祝 |
|---|---|---|---|---|---|---|---|
| 9:00~13:00 | ● | ● | ● | × | ● | ※ | × |
| 15:00~18:30 | ● | ● | ● | × | ● | ※ | × |
※土曜日 9:00~12:00/14:00~17:00

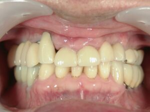
治療内容:前歯部インプラント
患者情報 70代男性
主訴:前歯を入れたい
治療期間:3か月(4回)
費用:770000円
リスク:痛み、腫れ
注意事項:効果には個人差があります。本症例は自由診療です。写真は同一条件で撮影しています。
使用材料:チタン、セラミック
投稿日:2026年4月15日 カテゴリー:インプラント, 審美歯科